Insanları qorxudan “buzlu şüşə” nədir?

"Pandemiya dönəmində insanların sanki kabusuna çevrilmiş bir termin var – "buzlu şüşə” mənzərəsi. Bəzən bunu "buz kristalı”, "buz parçası” kimi də adlandırırlar. Bu görüntü ilk əvvəl adı və səslənməsi ilə insanlarda təlaş, narahatlıq yaradır".
Anews.az xəbər verir ki, bu fikirləri Azərbaycan Tibb Universitetinin Tədris Cərrahiyyə Klinikasının radioloqu, ATU-nun Şüa diaqnostikası kafedrasının müdiri, dosent Məlahət Sultanova bu "buzlu şüşə”nin mahiyyətindən danışarkən deyib.
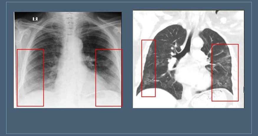
Həkimin sözlərinə görə, bəzən normal hallarda da "buzlu şüşə” görüntüsü radioloji görüntülərdə izlənilə bilər: "Məsələn, müayinə zamanı xəstə dərindən nəfəs almazsa və ya müayinə nəfəsvermədə aparılarsa, ağciyərin havalılığının fizioloji ekspirator zəifləməsi səbəbindən bütün ağciyər sahələri homogen olmaqla "buzlu şüşə” görüntüsü verə bilər. Hazırda "buzlu şüşə” görüntüsü koronavirus pnevmoniyasının əsas radiodiaqnostik əlaməti hesab edilir. Bu o deməkdir ki, normalda şəffaf havalı görünən ağciyərdə belə hallarda yarımşəffaf zonalar izlənilir, ağciyər sanki dumanlı görünür. Bu zaman bronx strukturlarının və pulmonar damarların saxlanması ilə ağciyərlərin eksudat və ya transudatla tutulması, interstisial qalınlaşmalar və ağciyər alveollarının hissəvi kollapsı ilə müşahidə olunan görüntü meydana çıxır. Buzlu şüşə xəstəliyin 3-4 günlərindən inkişaf etməyə başlayır və xəstə sağaldıqdan hətta bir ay sonra belə qala bilir. Xəstəliyin yüngül və orta ağır dərəcəsini keçirmiş xəstələrdə 2-3 aydan sonra dəyişikliklər tamamilə itir”.
www.anews.az
Oxşar xəbərlər
Oxşar xəbərlər
Son xəbərlər
Daha çox 