• $ 1.7
  • € 2.0052
  • ₽ 0.022154
  • ₺ 0.039
  • £ 2.3052

Mədəsindən əl bombası çıxdı - ŞOK FOTOLAR

Mədəsindən əl bombası çıxdı - ŞOK FOTOLAR
29.05.2020 03:44
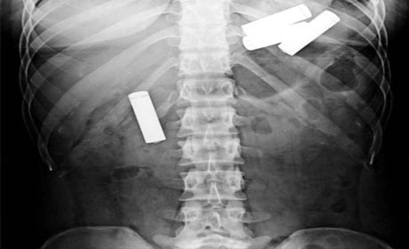
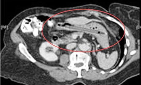
İnsan nələri udmağa qadir deyil? Yaxud mədədən nələr gəlib-keçmir? ANN.Az-in oxuculara təqdim etdiyi fotolar bir daha insanın nələrə qadir olduğunu göstərir. 1. İlan balığı2. Qaşıq3. Batareyalar4. Canlı qurbağa5. Mismar6. Dərmanlar 7. Nişan üzüyü8. Qayçı9. Tük yumağı10. Mobil telefom11. Qələm12. Yay13. Əl bombası14. Açar15. Lampa

ANN.Az
Oxşar xəbərlər
Oxşar xəbərlər
Kiyev bu gün atəşə tutulub - FOTOLAR
Dünya 11:55
Kiyev bu gün atəşə tutulub - FOTOLAR
Putinin qızının keçmiş ərinin villası əlindən alındı - FOTO
Dünya 09:45
Putinin qızının keçmiş ərinin villası əlindən alındı - FOTO
Rusiyaya qarşı döyüşən cütlük cəbhədə evlənib
Dünya 13:04
Rusiyaya qarşı döyüşən cütlük cəbhədə evlənib
Rusiyanın Ukraynaya hücumuna rəqs nümayişi ilə etiraz edilib - FOTO/VİDEO
Dünya 12:50
Rusiyanın Ukraynaya hücumuna rəqs nümayişi ilə etiraz edilib - FOTO/VİDEO
Bu əsər 7 dəqiqəyə 45,4 milyon dollara satıldı - Fotolar
Dünya 20:06
Bu əsər 7 dəqiqəyə 45,4 milyon dollara satıldı - Fotolar
Yaxın beş ildə parol tarixə qovuşacaq: Onu “çip”lər əvəz edəcək - FOTO
Dünya 17:30
Yaxın beş ildə parol tarixə qovuşacaq: Onu “çip”lər əvəz edəcək - FOTO
“Omikron”a yoluxma halında lazım olan dərmanlar - FOTO
Dünya 14:30
“Omikron”a yoluxma halında lazım olan dərmanlar - FOTO
Məşhur aktrisa 13 il sonra görüntüləndi: Dəyişiklik hər kəsi şoka saldı - FOTO
Dünya 14:00
Məşhur aktrisa 13 il sonra görüntüləndi: Dəyişiklik hər kəsi şoka saldı - FOTO
Avropada yol polisindən unikal addım: Avtobusla “sürücü ovu” - FOTO
Dünya 13:30
Avropada yol polisindən unikal addım: Avtobusla “sürücü ovu” - FOTO
Anews TV

Rəsmi Youtube kanalımız

Abunə ol