• $
  • £

Woman had toy inside her for 10 YEARS

Woman had toy inside her for 10 YEARS
29.05.2020 00:53
A Scottish woman walked around with a five-inch sex toy inside her for 10 years without realising, doctors have reported.

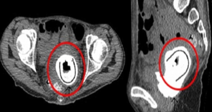
The 38-year-old woman arrived at hospital complaining of severe weight loss, shaking and lethargy. She had also experienced mild incontinence for 'a few weeks'.On further examination, doctors were shocked to discover a strange foreign body protruding into her bladder from her vagina.Surgical removal of the item at Aberdeen Royal Infirmary revealed it to be a five inch (11cm)-long sex toy.Medical staff were even more taken back when the woman revealed she had used the sex toy with her partner ten years ago. She also admitted she was under the influence of alcohol at the time - and claimed she couldn't remember removing it or not. The woman had a normal IQ, no signs of depression or psychosis and had not been subject to any abuse, according to the case report.But the sex toy had caused her potentially life-threatening damage.The woman was suffering from a rare 'vesicovaginal fistula' – an abnormal tract which allows urine to flow into the vagina. She also had an obstructive uropathy, where a blockage in the bladder causes urine to back up into the kidneys. After removing the sex toy, doctors managed to repair the damage and the woman was later discharged.One doctor at the hospital, who was not willing to comment on the patient's specific case, confirmed it was highly unusual for such a large foreign object to go unnoticed in the majority of instances - by patients or their partners.This is because the vagina is full of nerve endings and is extremely sensitive, he says.The patient’s case - reported in The Journal of Sexual Medicine - is the first time a sex toy has been left inside a woman for as long as a decade.However it’s not the longest time an object has remained hidden in a woman’s vagina. A review of similar cases uncovered a report of a woman who'd had a foreign object lodged in her vagina for 35 years.Other bizarre items that have been discovered include a hairspray cap, a cylindrical tin container, a plastic cup and a child’s toy. One case study from 2009 even describes how doctors discovered a 3x5 cm foreign body in a 72-year-old woman’s vagina - but she and the doctors were unable to work out what is was.Doctors say people usually deny knowledge of the existence or origin of such items when they are initially discovered, due to embarrassment or fear of recrimination.The practice is common in patients suffered from Münchausen syndrome – a psychiatric condition where the person feigns symptoms in order to gain attention or sympathy.Psychiatric disorders, alcohol abuse, and child abuse are also common among these patients.(dailymail.co.uk)Bakudaily.az

Similar news
Similar news
President Ilham Aliyev congratulates Azerbaijani people on Ramadan holiday
Society 18:00
President Ilham Aliyev congratulates Azerbaijani people on Ramadan holiday
Azercell launches a special campaign on OPPO smartphones ahead of Novruz
Society 17:30
Azercell launches a special campaign on OPPO smartphones ahead of Novruz
Discover the world during the Novruz holiday with Bakcell roaming!
Society 16:57
Discover the world during the Novruz holiday with Bakcell roaming!
Azercell and the National Paralympic Committee visited Children’s Home No. 3
Society 16:00
Azercell and the National Paralympic Committee visited Children’s Home No. 3
Azerbaijan police solve 85 crimes in one day, interior ministry says
Society 13:30
Azerbaijan police solve 85 crimes in one day, interior ministry says
Ramadan Bayram to fall on March 20, Caucasus Muslims Office issues guidance
Society 13:00
Ramadan Bayram to fall on March 20, Caucasus Muslims Office issues guidance
A new season of “Brain Ring” launches with the support of Nar
Society 17:31
A new season of “Brain Ring” launches with the support of Nar
23 Azerbaijani citizens readmitted from Germany
Society 14:00
23 Azerbaijani citizens readmitted from Germany
Azerbaijan records 1,765 drug-related crimes in January–February
Society 13:30
Azerbaijan records 1,765 drug-related crimes in January–February
Anews TV

Our official Youtube channel

Subscribe