• $ 1.7
  • € 1.9672
  • ₽ 0.021247
  • ₺ 0.0404
  • £ 2.2367

Norwegian artist eats his own hip for exhibition

Norwegian artist eats his own hip for exhibition
29.05.2020 00:03
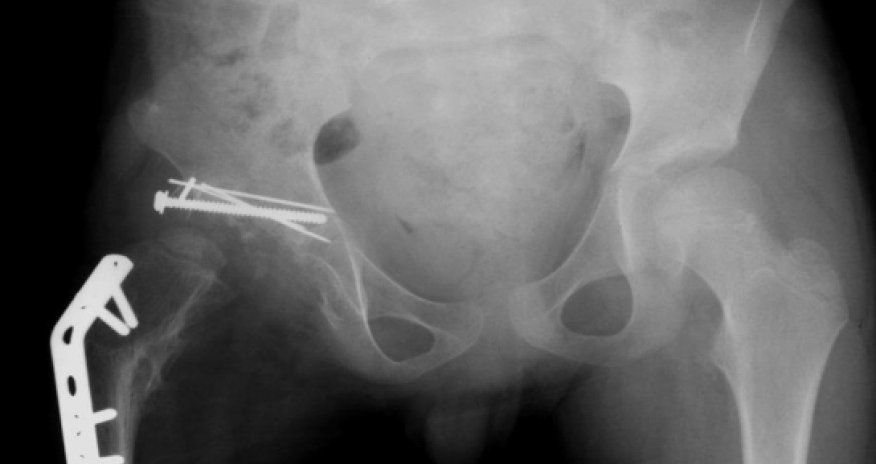
Norwegian artist Alexander Selvik Wengshoel claims to have eaten his own hip “on a whim” and presented the bone in his graduate exhibition.Yes, conceptual art has reached a whole new level, with the 25-year-old describing the bizarre turn of events at the opening of his Tromso Academy of Contemporary Art show. Wengshoel took the body part home after a hip replacement operation, boiled it to loosen the meat and ate it with potato gratin and a glass of wine.His girlfriend (who may or may not still be his girlfriend) was at work while he dined on the “goaty” meat.“When I got home I sat in my living room and suddenly I had a whim that I should cook the meat,” he told The Local. “I resolved to have this really nice moment, with me and my hip bone."It’s not every day I will have a piece of human flesh which is mine and which it is possible to eat. So I had a little taste and then I thought, ‘That’s really nice’.“It had this flavour of wild sheep, if you take a sheep that goes in the mountains and eats mushrooms.”Wengshoel, who was born with a deformed hip and suffered many failed operations during childhood, had spent most of his life in a wheelchair or on crutches before undergoing the life-changing surgery aged 21.Now, his meatless hip bone and video footage of his operation are displayed for viewers to gain insight into his cathartic story.“It had been such a problem for me for over 20 years and it was just a way of making it better again,” he said. “It had been so hard to have it in my body, and when I took it out, it turned into something else, something romantic. It was a natural process I felt I had to do to move on.”Not everyone has seen Wengshoel’s project as ‘art’, with some people reacting in a “really p***ed off” manner. But the artist insists that sparking people into thinking about their own bodies and their personal view of their bodies is important.“I just work with my own body, that is my canvas,” he said. “Previously I wasn’t given any choice by doctors but now I can take control myself and decide what I want to do with it.”(independent.co.uk)Bakudaily.az
Similar news
Similar news
Mehriban Aliyeva visits Europe’s largest pediatric hospital Bambino Gesu
Culture 13:00
Mehriban Aliyeva visits Europe’s largest pediatric hospital Bambino Gesu
Mehriban Aliyeva pays official visit to Vatican
Culture 09:30
Mehriban Aliyeva pays official visit to Vatican
Azerbaijan’s President Aliyev addresses NUFA3 participants
Culture 12:30
Azerbaijan’s President Aliyev addresses NUFA3 participants
Azerbaijani People’s Artist Ramiz Guliyev dies
Culture 12:01
Azerbaijani People’s Artist Ramiz Guliyev dies
22,000 people resettled in three Karabakh districts
Culture 10:30
22,000 people resettled in three Karabakh districts
Five years since Armenia’s third missile strike on Azerbaijan’s Ganja
Culture 14:30
Five years since Armenia’s third missile strike on Azerbaijan’s Ganja
Istanbul honors Azerbaijani poet Bakhtiyar Vahabzade
Culture 13:01
Istanbul honors Azerbaijani poet Bakhtiyar Vahabzade
Evening of Uzeyir Hajibeyli’s music in New York brings together diplomats and diaspora
Culture 12:30
Evening of Uzeyir Hajibeyli’s music in New York brings together diplomats and diaspora
Nobel Prize in Physics 2025 awarded to U.S. scientists John Clarke, Michel Devoret, and John Martinis
Culture 17:30
Nobel Prize in Physics 2025 awarded to U.S. scientists John Clarke, Michel Devoret, and John Martinis
Anews TV

Our official Youtube channel

Subscribe