• $ 1.7
  • € 1.9834
  • ₽ 0.02171
  • ₺ 0.0382
  • £ 2.2781

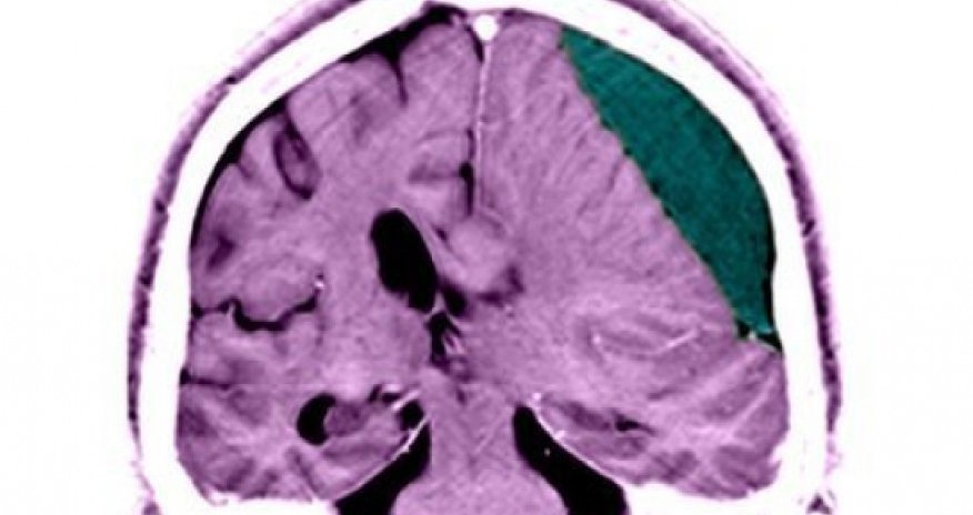
Brain blow leaves life-long dangers

Brain blow leaves life-long dangers
16.01.2014 23:30
Injuries to the head can leave victims susceptible to early death even years later through impaired judgement, a major analysis of survivors shows.

Those with a history of psychiatric disorders before the injury are most at risk of dying prematurely.The study, in JAMA Psychiatry, of 40 years of data on more than two million people, showed that overall a brain injury trebled the risk.Suicide and fatal injuries were among the commonest causes of early death.More than one million people in Europe are taken to hospital with a traumatic brain injury each year.The study, by researchers at the University of Oxford and the Karolinska Institute in Stockholm, looked at Swedish medical records between 1969 and 2009.Treatable illnesses

They followed patients who survived the initial six-month danger period after injury.The data showed that without injury 0.2% of people were dying prematurely - before the age of 56.However, the premature-death rate was three-fold higher in patients who had previously suffered traumatic brain injury.In those who also had a psychiatric disorder the rate soared to 4%.Dr Seena Fazel, one of the researchers in Oxford, said: "There are these subgroups with really high rates, and these are potentially treatable illnesses, so this is something we can do something about."Judgement affectedCommon causes of premature death among those who had suffered previous brain injury included suicide, being a victim of assault or suffering fatal injuries, for example in a car crash.It is thought that the injury causes permanent damage to neural networks in the brain and can alter people's judgement and ability to deal with new situations.Prof Huw Williams, the co-director of the centre for clinical neuropsychology research at the University of Exeter, said: "The mortality rates are like a reverse-iceberg - they're the most awful outcome, but the rates of depression and anxiety are huge in the brain injury population."People with head injury need monitoring all the time in case they become suicidal."Dr Richard Greenwood, a consultant neurologist at Homerton Hospital in London, said post-mortem examinations showed 2% of people had evidence of brain injury, and his children were not allowed to play rugby because of the risk to the brain.(BBC)ANN.Az
Similar news
Similar news
Azerbaijan food safety agency finds violations in gyms, supplement shops
Society 15:30
Azerbaijan food safety agency finds violations in gyms, supplement shops
Azerbaijan starts repairs on Bibi-Heybat road after heavy rains
Society 15:06
Azerbaijan starts repairs on Bibi-Heybat road after heavy rains
Azerbaijan to tighten hiring rules with mandatory drug-related health checks
Society 14:30
Azerbaijan to tighten hiring rules with mandatory drug-related health checks
Mud volcano erupts on Azerbaijan’s Absheron peninsula
Society 13:30
Mud volcano erupts on Azerbaijan’s Absheron peninsula
No precipitation expected in Baku on April 10, rain and hail possible in regions
Society 18:00
No precipitation expected in Baku on April 10, rain and hail possible in regions
Azerbaijani religious leaders reject U.S. report on religious freedom
Society 18:00
Azerbaijani religious leaders reject U.S. report on religious freedom
Nar joins an inclusive initiative within the Azerbaijan Urban Development Campaign
Society 15:16
Nar joins an inclusive initiative within the Azerbaijan Urban Development Campaign

Magnitude 5.3 quake hits Caspian Sea
Society 15:00
Magnitude 5.3 quake hits Caspian Sea
Azercell congratulates winners of the “Student Scholarship Program” The mobile operator awards scholarships to 15 students
Society 14:30
Azercell congratulates winners of the “Student Scholarship Program” The mobile operator awards scholarships to 15 students
Anews TV

Our official Youtube channel

Subscribe