• $
  • £

Diabetes drug may help in leukaemia

Diabetes drug may help in leukaemia
03.09.2015 20:00
A drug used to treat diabetes could help in the fight against blood cancer, early research in the journal Nature suggests.

An international team of scientists gave the drug to patients with chronic myeloid leukaemia, alongside standard treatment.

Those who received the combination therapy were more likely to be free of the disease for longer.

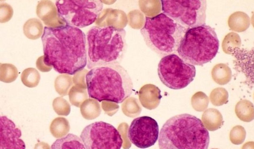
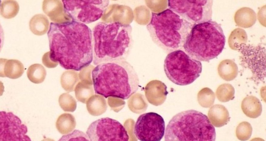
Chronic myeloid leukaemia (CML) is a rare blood cancer.

Boosting treatment

About 600 people are diagnosed with the condition each year in the UK.

Though a number of successful treatments exist, they do not help every patient and some become resistant to conventional therapy.

In this study, scientists gave a combination of the anti-diabetic drug pioglitazone and standard treatment to 24 patients whose CML remained active despite receiving conventional drugs.

After 12 months, more than 50% of the patients given the combination treatment were in remission.

And the first three patients to be given the drug had no reoccurrences of cancer in the five years that followed.

Scientists hope this combination therapy approach may prove helpful for other similar cancers.

Patients with untreated CML make excessive numbers of abnormal white blood cells.

Over time, these can crowd out the normal white blood cells, red blood cells and platelets a person has, making it harder for patients to mount a defence against infections and causing some people to bleed more easily.

The current standard treatment includes therapies such as imatinib.

Prof Peter Johnson, Cancer Research UK's chief clinician, said: "The outlook for people with chronic myeloid leukaemia has improved dramatically since the introduction of drugs like imatinib.

"But for some patients these drugs aren't always effective. This study is an interesting example of how understanding the biology of cancer stem cells could help improve treatment for these patients.

"However, this is early stage research and only a small number of patients have been studied. It will be interesting to see if this combination is also successful in larger clinical trials."

Other experts add that the side-effects of pioglitazone would also have to be taken into account if this treatment were to be offered in routine care.

(BBC)

www.ann.az
Similar news
Similar news
Hikmet Hajiyev: 421 people affected by landmines since patriotic war
Society 15:28
Hikmet Hajiyev: 421 people affected by landmines since patriotic war
Next resettlement to Zar village in Kalbajar planned
Society 15:00
Next resettlement to Zar village in Kalbajar planned
Azerbaijan police detain 45 suspects, solve 59 crimes in a day
Society 13:00
Azerbaijan police detain 45 suspects, solve 59 crimes in a day

ChatGPT lost over 16% of its market share in Azerbaijan in last 4 months
Society 18:00
ChatGPT lost over 16% of its market share in Azerbaijan in last 4 months
Iran executes man convicted of setting fire in military base in January protests
Society 17:00
Iran executes man convicted of setting fire in military base in January protests
Azerbaijan Clears Over 5,000 Mines and UXO in March 2026
Society 17:00
Azerbaijan Clears Over 5,000 Mines and UXO in March 2026
Azerbaijan: 4,576 Insurance Claims Recorded from March 20–30, Majority in Auto Sector
Society 16:00
Azerbaijan: 4,576 Insurance Claims Recorded from March 20–30, Majority in Auto Sector
Azerbaijan seizes 7.5 mln manats worth of contraband at border in March
Society 14:30
Azerbaijan seizes 7.5 mln manats worth of contraband at border in March
Heavy rains flood area around Baku school, parents call for urgent action
Society 12:29
Heavy rains flood area around Baku school, parents call for urgent action
Anews TV

Our official Youtube channel

Subscribe