• $
  • £

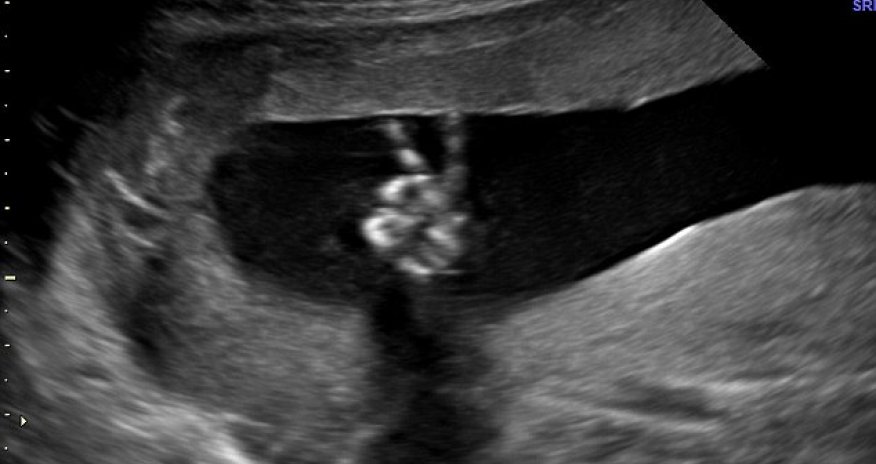
The baby pictured doing a victory V-sign in the womb

The baby pictured doing a victory V-sign in the womb
10.03.2015 19:00
Examining an ultrasound scan of your unborn child is a nerve-racking moment for most parents.

But any worries that Ed and Dee Parsons may have harboured quickly faded when they saw their baby in the womb at 20 weeks.

The child was making an unmistakable V-sign – the victory gesture associated with Winston Churchill and, latterly, with world peace. 

‘The sonographer couldn't believe it – she said she had never seen anything like it before,’ said Mrs Parsons, 35. 

‘It’s nice to have such an iconic image of peace when there’s so much unrest all around us. It was very reassuring.

She said she and her husband, also 35, were feeling weighed down by negative global events and the death of someone close to them. 

‘We were thinking, we’re bringing this child into the world at such a horrible time,’ she added. ‘But then this happened, we couldn’t quite believe what we were seeing. 

'All our friends said they thought it was such a positive, happy symbol.’

The couple, who live in Godalming, Surrey, and run an event production business, are thinking of calling the baby Winston if it is a boy.

‘It’s growing on us,’ Mrs Parsons said. ‘But for now we are calling it peace-baby, that’s our nickname.’

Mrs Parsons, who has a daughter, Grace, six, from a previous marriage, said that in the 12-week scan the child had given a clear thumbs-up.
Churchill is reported to have once said: ‘All babies look like me. But then, I look like all babies.’

(dailymail.co.uk)

ANN.Az
Similar news
Similar news
Hikmet Hajiyev: 421 people affected by landmines since patriotic war
Society 15:28
Hikmet Hajiyev: 421 people affected by landmines since patriotic war
Next resettlement to Zar village in Kalbajar planned
Society 15:00
Next resettlement to Zar village in Kalbajar planned
Azerbaijan police detain 45 suspects, solve 59 crimes in a day
Society 13:00
Azerbaijan police detain 45 suspects, solve 59 crimes in a day

ChatGPT lost over 16% of its market share in Azerbaijan in last 4 months
Society 18:00
ChatGPT lost over 16% of its market share in Azerbaijan in last 4 months
Iran executes man convicted of setting fire in military base in January protests
Society 17:00
Iran executes man convicted of setting fire in military base in January protests
Azerbaijan Clears Over 5,000 Mines and UXO in March 2026
Society 17:00
Azerbaijan Clears Over 5,000 Mines and UXO in March 2026
Azerbaijan: 4,576 Insurance Claims Recorded from March 20–30, Majority in Auto Sector
Society 16:00
Azerbaijan: 4,576 Insurance Claims Recorded from March 20–30, Majority in Auto Sector
Azerbaijan seizes 7.5 mln manats worth of contraband at border in March
Society 14:30
Azerbaijan seizes 7.5 mln manats worth of contraband at border in March
Heavy rains flood area around Baku school, parents call for urgent action
Society 12:29
Heavy rains flood area around Baku school, parents call for urgent action
Anews TV

Our official Youtube channel

Subscribe